まるやま歯科医院 診療案内

セレック [セラミック修復者作成器械]

セレック

『セレック』とは、3DCAD/CAMを使用した最新鋭のセラミック修復物作成器械です。 当院では、セレックを導入し、精度良く不純物の少ないセラミックを最短1日でセットすることが可能です。
詳しくは当医院スタッフまでお気軽にご相談ください。
*e-maxは個々の歯に合わせ色付けをし、焼成をするため2時間程かかります。

セレック治療の流れ

スキャン[型取り]

型取り

歯を削った後、3Dカメラで口腔内を撮影します。
治療する歯の患部を削った後、形成後通法どうり印象採得を行い模型を作製し、先進の3D光学カメラを使用して患部を撮影 (スキャン)します。わずか数秒これだけの作業で患部の歯列が目の前のモニター上に再現されます。
※症例によっては従来の型取りを必要とする場合がございます。

修復物設計

修復物設計

コンピュータの3D画面上で修復物を設計します。
モニター上であらゆる角度から、咬み合う部分の盛り上がりや形を微調整し理想的な形にしていきます。 設計後、ご用意してあるさまざまな色のセラミックブロックから、最も適した色のブロックを選びます。

修復物作製

ミリングマシン1

ミリングマシンが設計データをもとに加工します。
ミリングマシンと呼ばれる機械が、コンピュータで設計されたデータをもとにセラミックブロックを削り出し、精度に優れた修復物を加工・作製していきます。

口腔内セット

口腔内セット

口腔内へセットして治療完了です。
先進的な接着技術を用いて、削り出されたセラミック歯を口腔内へセットします。これで治療完了となります。

セレックが選ばれる理由

より天然歯に近づいた、審美的質感

さまざまな歯の色に対応し、隣接歯に良く馴染む新セラミックブロックは審美性に大変優れ、咬み心地や舌触りなど質感も天然歯に近い自然な感触です。

安心・安全、身体にやさしいセラミック

金属アレルギーの心配がない、生体親和性の高い新セラミックは、変色や摩耗といった心配も不要で安心・安全、身体にやさしい素材です。 完成した修復物は最先端の接着方法により10年間で90%以上の残存率を実現する、優れた耐久性を誇ります。

通院1日での治療も可能

詰め物や被せ物をその場で設計・加工、仮歯不要で衛生的な最新システム治療です。通常は、2日での治療となります。症例により異なりますが、通院1日での治療も可能です。通院1日の治療の場合には、別途料金がかかりますのでまずはご相談ください。

コンピュータによる精度の高い修復物

先進のコンピュータシステムは、従来の手作業に比べ大幅に時間短縮を実現。常に安定した、高品質・高精度の修復物を提供することが可能になりました。

セレック 症例

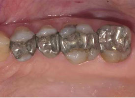
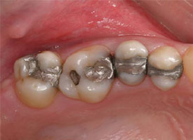
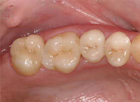
症例 1
治療前 治療後
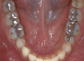
症例 2
治療前 治療後
症例 3
治療前 治療後

治療費は症例により異なります。素材は全てセラミックです。

1本あたり40,000円~80,000円です。